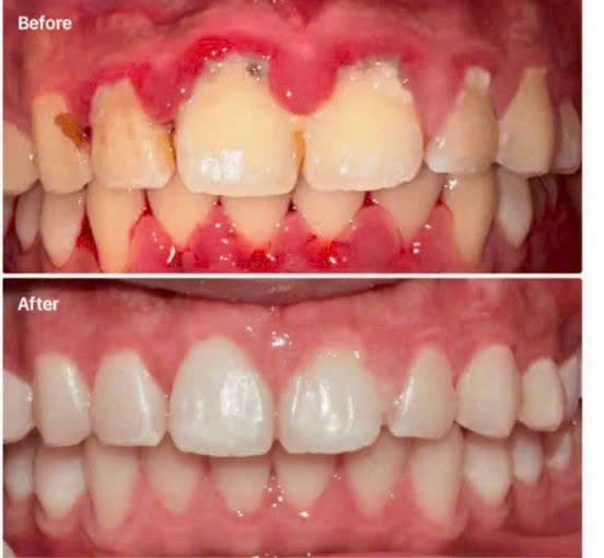
"Một bệnh nhân của tôi đến khám với tình trạng lợi sưng đỏ nặng ở cả hai hàm, và có dấu hiệu hở chân răng. Việc viêm nhiễm nghiêm trọng này khiến bệnh nhân khó chịu khi ăn uống và vệ sinh răng miệng. Sau khi kiểm tra, tôi xác định nguyên nhân là do mảng bám vi khuẩn tích tụ quá nhiều, gây mất cân bằng vi khuẩn trong khoang miệng.
Tôi đã chỉ định bệnh nhân sử dụng bộ cân bằng vi khuẩn Lusmile trong 25 ngày. Quá trình điều trị không chỉ giúp làm giảm sưng nướu mà còn hỗ trợ làm sạch sâu, khôi phục sức khỏe cho nướu và chân răng. Sau khoảng 10 ngày, các triệu chứng sưng đỏ bắt đầu giảm dần, và đến cuối liệu trình 25 ngày, tình trạng lợi hở chân răng đã hoàn toàn biến mất. Nướu ôm sát chân răng, bệnh nhân cảm thấy thoải mái hơn khi ăn uống, vệ sinh răng miệng cũng dễ dàng hơn nhiều.

Bộ cân bằng vi khuẩn Lusmile đã cho thấy hiệu quả rõ rệt trong việc điều trị viêm lợi và hỗ trợ bệnh nhân phục hồi nhanh chóng."
--- Bác sĩ Hiền
(Nha khoa Hiền Tiến)
