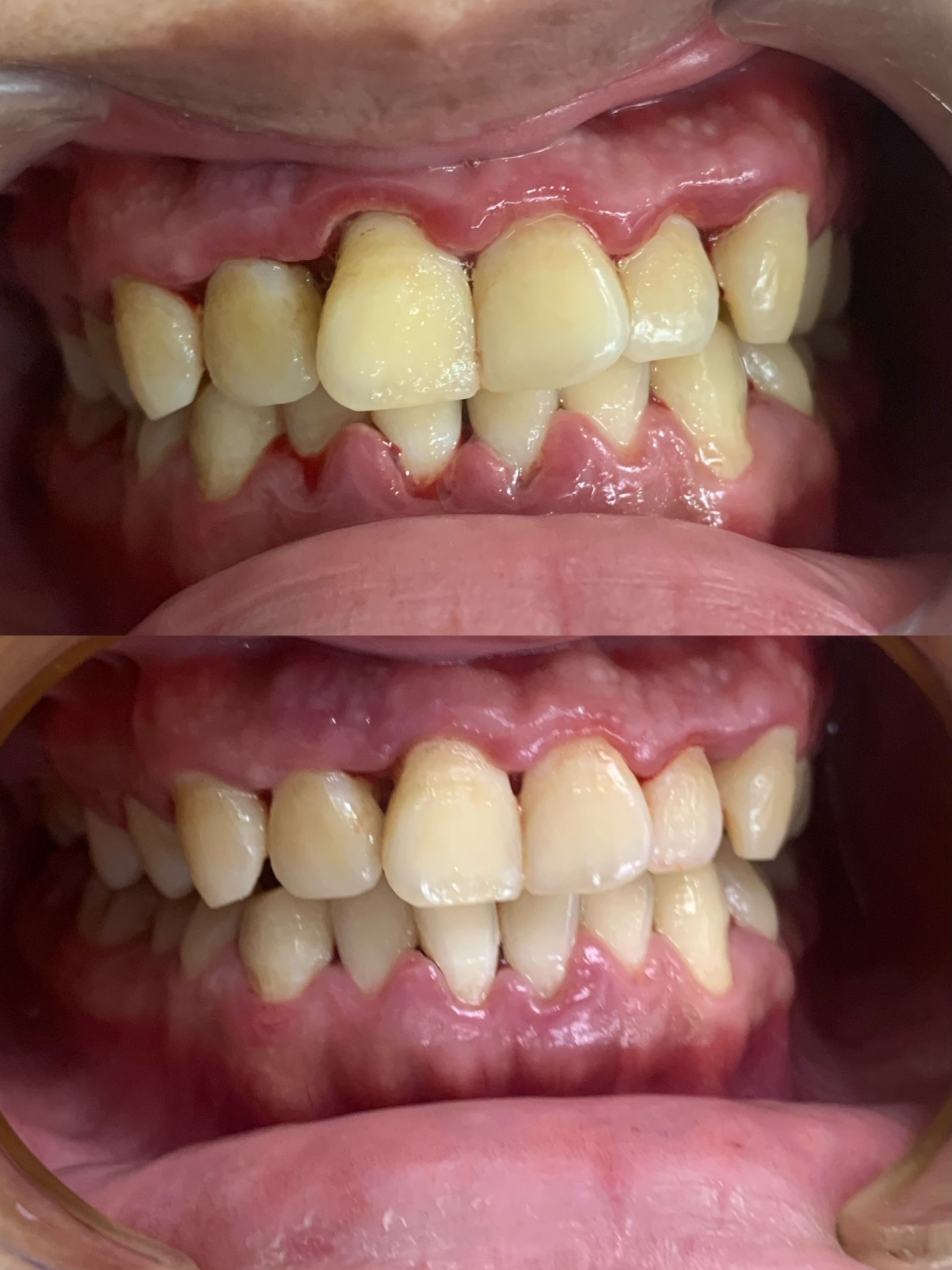
Bệnh nhân T đến phòng khám nha khoa trong tình trạng răng bị viêm lợi khá nặng, phần lợi sưng đỏ và rất dễ bị chảy máu chân răng. Ngoài ra, do viêm lợi nên bệnh nhân gặp phải tình trạng hơi thở có mùi hôi khó chịu, khiến việc giao tiếp trở nên hạn chế, khó khăn.
Sau khi kiểm tra tình trạng răng của bệnh nhân và tìm được nguyên nhân, bác sĩ Hồng Vân đã tiến hành vệ sinh khoang miệng cho bệnh nhân sạch sẽ bằng cách lấy cao răng và loại bỏ mảng bám trên bề mặt răng. Sau đó, phần lợi viêm bác sĩ chỉ định sử dụng Bộ cân bằng vi khuẩn Lusmile để điều trị. Chỉ sau 2 lần qua nha khoa (trong 3 ngày, 2 ngày đến 1 lần) điều trị bằng Lusmile, hiện tại tình trạng viêm của bệnh nhân đã đỡ hơn rất nhiều. Lợi se lại và không còn sưng, phần chân răng cũng đã hết chảy máu. Bác sĩ hẹn anh T sử dụng sản phẩm thêm 7 lần nữa để điều trị dứt điểm viêm lợi.

