Nguyên nhân chính gây ra viêm lợi sau khi bọc răng sứ
Một trong những nguyên nhân chính dẫn đến viêm lợi sau khi bọc răng sứ phải kể đến là:
-
Bệnh nhân vệ sinh răng miệng kém hoặc vệ sinh không đúng cách (đây là nguyên nhân chính chiếm tới 80% trường hợp bị viêm sau khi răng bọc sứ)
-
Răng sứ được chế tác có kích thước chưa đạt chuẩn so với khuôn răng của người bệnh làm cho răng khi bọc sứ bị hở, cộm
-
Thiếu sót của bác sĩ trong quá trình bọc sứ (mài đường hoàn tất không đúng, để sót lại phần chất gắn chuyên dụng còn dư trong răng bệnh nhân, không vệ sinh sạch sẽ khiến mảng bám tích tụ lâu dần trở thành viêm)
-
Người bệnh bị dị ứng với thành phần nào đó của răng sứ.

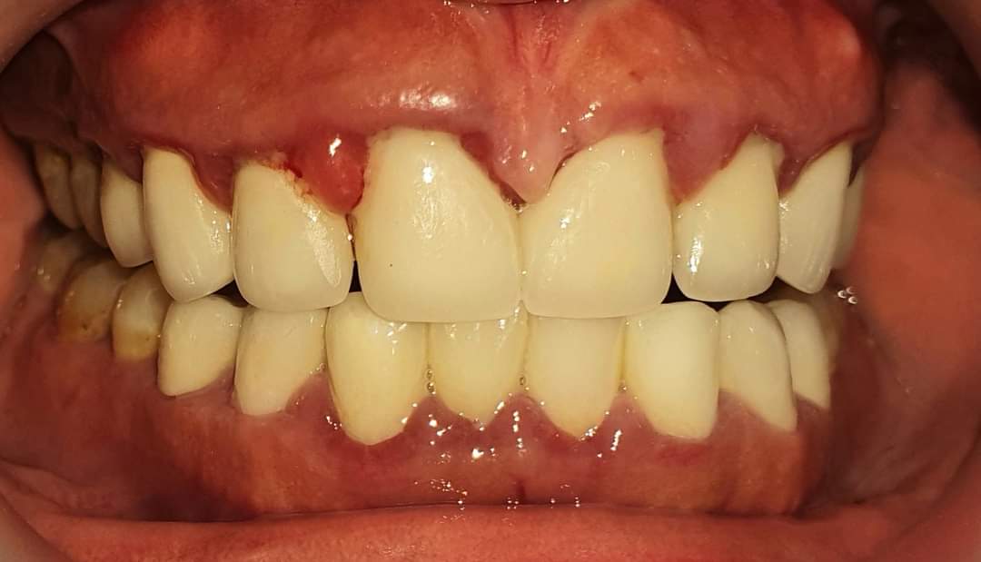
Dấu hiệu cho thấy bạn đã bị viêm lợi sau khi bọc răng sứ
Dưới đây là một số dấu hiệu cho thấy lợi của bạn đang gặp vấn đề và cần phải đến ngay nha khoa gần nhất để xử lý:
-
Phần lợi gần chân răng bị sưng phồng, tấy đỏ, khi ấn vào có cảm giác mềm, thậm chí ra dịch mủ màu trắng đục hoặc chảy máu
-
Khi vệ sinh răng miệng rất dễ bị chảy máu chân răng
-
Hơi thở có mùi khó chịu, cản trở việc giao tiếp hàng ngày
-
Trường hợp nghiêm trọng hơn, răng không còn bám chắc vào nướu, sờ vào có cảm giác bị lung lay
-
Khi răng bị nhiễm trùng, các cơn đau âm ỉ sẽ xuất hiện, thậm chí gây ra tình trạng mất ngủ, lo lắng, ảnh hưởng xấu tới hệ thần kinh
Khi gặp phải những vấn đề trên, nếu không xử lý kịp thời sẽ làm tăng nguy cơ mất răng vĩnh viễn.
Cách khắc phục tình trạng viêm lợi sau khi bọc sứ nhanh chóng, hiệu quả
Dựa vào tình trạng viêm lợi nặng hay nhẹ mà các bác sĩ sẽ đưa ra hướng giải quyết tốt nhất cho bệnh nhân, thường sẽ làm theo các bước điều trị sau:
-
Cạo vôi răng, vệ sinh toàn bộ khoang miệng cho bệnh nhân trước khi điều trị viêm lợi
-
Cắt lợi: bác sĩ sẽ nạo sạch phần lợi bị viêm, sau đó cắt đi một phần lợi, để tránh cho răng sứ chụp lên lợi quá nhiều.
-
Đối với trường hợp viêm quá nặng, bác sĩ sẽ phải dùng biện pháp điều trị xâm lấn. Cụ thể, bác sĩ sẽ tháo bỏ răng sứ cũ để phẫu thuật ghép lợi cho đến khi sức khỏe ổn định mới phục hình lại răng sứ.
Mách bạn phương pháp điều trị viêm lợi không cần phẫu thuật được nhiều bác sĩ áp dụng hiện nay
Hiện nay tại phần lớn các nha khoa trên toàn quốc, các bác sĩ đã đưa sản phẩm Bộ cân bằng vi khuẩn Lusmile và quá trình điều trị viêm lợi do lắp răng sứ sai. Theo đó, bác sĩ sẽ tiến hành vệ sinh sạch sẽ phần lợi bị viêm, sau đó đánh Lusmile trên răng bệnh nhân để sát khuẩn và điều trị viêm lợi.

Bệnh nhân có thể sử dụng sản phẩm này ngay tại nhà để tự đánh răng, giúp quá trình phục hồi diễn ra nhanh chóng hơn mà không cần phải qua nha khoa thường xuyên.
Cách sử dụng cũng khá đơn giản, chỉ cần sử dụng như kem đánh răng thông thường:
Trộn 01 lượng kem đánh răng đặc trị Lusmile TP và một lượng dung môi Lusmile BB tỉ lệ 1:1, trộn đều bằng que đánh để được hỗn hợp đồng nhất, lấy hỗn hợp vừa trộn để lên bàn chải đánh răng và đánh như kem đánh răng thông thường nhưng thời gian đánh lâu hơn, hàm trên đánh 3 phút, hàm dưới 3 phút, chờ thêm 04 phút để hoạt chất phát huy tác dụng, dùng thêm bàn chải kẽ ở các khẽ lớn để sản phẩm đạt hiệu quả sử dụng cao hơn tại các kẽ viêm.
Sản phẩm giúp tiêu diệt những vi khuẩn gây bệnh, cân bằng lại vi khuẩn gây bệnh và vi khuẩn có lợi trong khoang miệng
Sau khi khỏi viêm lợi, bệnh nhân cũng cần đến nha khoa để thăm khám răng định kỳ theo lịch hẹn của bác sĩ để nhanh chóng khắc phục những bệnh lý mà răng miệng gặp phải.
